Carillas en Spring
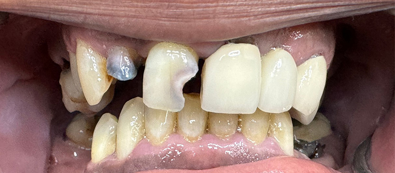
If your teeth are crooked, damaged, or decayed, you may want to consider dental veneers. At Immediate Smiles Dentures & Dentistry, we want to help you look your best. That is why we work so hard to give our patients the most beautiful veneers in Spring and the surrounding areas.
We believe that everyone should have access to excellent dental care. When you receive trusted care from Immediate Smiles Dentures & Dentistry, you can look forward to improved oral hygiene and health.
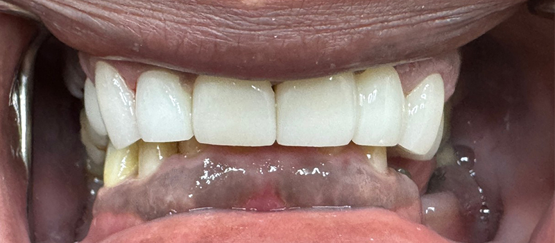
Thanks to dental veneers, Dr. Mehta can effectively restore your teeth and your quality of life. Are you interested in finding dental veneers near you? We invite you to give us a call so we can arrange a consultation.
Our staff is dedicated to helping our patients with the care they deserve. When you come to Immediate Smiles Dentures & Dentistry for your oral health needs, you have a knowledgeable dentist near you who can help transform your smile.
Please give us a call if you would like to schedule a time to visit our dentist in Spring, TX. Soon, you can be enjoying the benefits of a healthy, beautiful smile.
What Is It?
Veneers are coverings that are placed over your teeth. They are designed to look and feel just like real tooth enamel. When you visit us for treatment, Dr. Rahul Mehta will carefully match your veneers with your natural tooth color. This is done to ensure that your smile looks seamless and complete.
Dental veneers are made with durable compounds that can last upwards of 20 years. With proper care, you will be able to enjoy your new smile for years to come.
Who Needs Veneers?
Are you unhappy with the way your teeth look? Veneers may be for you. Below are some of the most reasons why you may need veneers.
- Restore a damaged tooth
- Repair a chipped tooth
- Treat a stained tooth
- Fix misaligned teeth
During treatment, Dr. Mehta will prepare your tooth to help the veneer bond to it. After a specialist is finished creating your custom veneer, it will be secured in place, leaving you with a healthier, stronger tooth.









