Dental Implants in Spring
Missing or damaged teeth can affect your quality of life by making it difficult to smile. Thankfully, you have treatment options that can restore both your teeth and your quality of life. At Immediate Smiles Dentures & Dentistry in Spring, we specialize in cosmetic care that serves to improve the appearance and use of your teeth.
When you let us provide your dental care, you can look forward to having a trusted and caring dentist near you who will fight to help you get a healthier smile. Dr. Rahul mehta is an experienced dentist who has helped people just like you by providing the best dental implants in Spring.
If you are ready to improve your smile and are interested in dental implants near you, call Immediate Smiles Dentures & Dentistry today so we can arrange a consultation with Dr. Mehta. We will be happy to discuss your treatment plan to help you determine the best care for your needs.
What Is It?
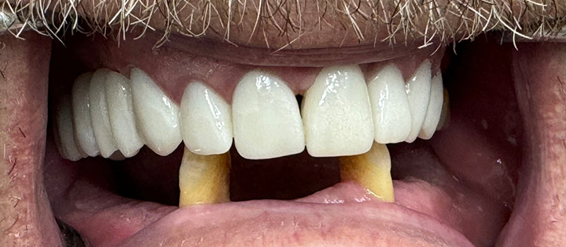
Dental implants are a cosmetic procedure that restores lost or damaged teeth with durable synthetic teeth. Dr. Mehta may first need to remove teeth that are badly decayed before you can safely get implants.
When ready, titanium posts are surgically implanted into your jawbone, where they remain hidden under your gum line while you recover. Recovery time can last between 3 and 6 months following the first surgical procedure.
When you are completely healed, Dr. Mehta will have you come back in for a second surgery that exposes the titanium posts. Extensions are then attached to the posts on which the dental implants will be permanently affixed.
The healing process following the second surgery is much faster. Soon, you will be able to enjoy the benefits that come from your new, beautiful dental implants.
Who Needs Dental Implants?
Patients who are missing any number of teeth may be a great candidate for dental implants. Depending on how long your teeth have been missing, you may require a bone graft. This procedure adds bone to areas on your mouth that have lost the bone needed to safely support dental implants.
If you need a dentist near you who you can trust to deliver the best dental care, call Immediate Smiles Dentures & Dentistry to make an appointment to see Dr. Mehta.







