Fixed Full Arch Solutions in SpringĀ

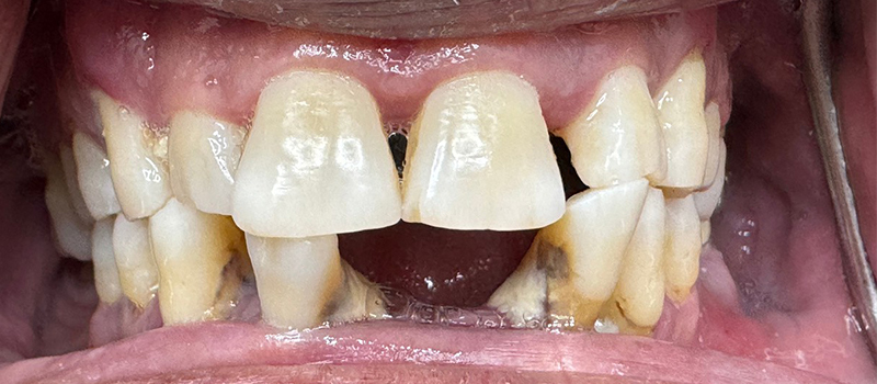
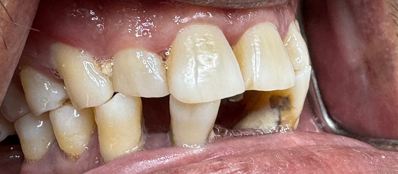
If you are tired of your natural teeth that consistently develop infections, get decayed, and need constant work, or if you are tired of wearing dentures that constantly fall out, we invite you to ask us about our Fixed Full Arch Solutions! At Immediate Smiles Dentures & Dentistry, we have 3 Fixed Full Arch options that offer you the stability to eat the foods you want without experiencing the constant pain and suffering experienced due to failing natural dentition or removable dentures. Please take a look below as we describe each option and a few of the advantages they offer:
If you are tired of your natural teeth that consistently develop infections, get decayed, and need constant work, or if you are tired of wearing dentures that constantly fall out, we invite you to ask us about our Fixed Full Arch Solutions! At Immediate Smiles Dentures & Dentistry, we have 3 Fixed Full Arch options that offer you the stability to eat the foods you want without experiencing the constant pain and suffering experienced due to failing natural dentition or removable dentures. Please take a look below as we describe each option and a few of the advantages they offer:
Permanent Teeth on 6 or 8
Most people, when thinking about replacing their natural teeth, automatically assume dentures are in their future. What if that doesnāt have to be the case? The Permanent Teeth on 6 or 8 solution refers to the placement of 8 implants in your Upper Arch or 6 implants in your Lower Arch. The implants are strategically placed so your Dentist can install four 3-unit Fixed Implant Bridges into the implants on the Upper and / or three 4-unit Fixed Implant Bridges on the Lower Arch. This allows for teeth that look like they are coming out of your natural gums!!
It also allows for teeth that function and feel just like your natural teeth! Listed below are some of the advantages of this procedure:
- Restores your ability to Eat almost Anything You Want while Significantly Improving the Esthetics of Your Smile
- Highly stable with 8 Implants on the Upper or 6 Implants on the Lower Arch, which means it does NOT fall out unpredictably
- Enjoy Natural Speech without Gagging or Slurring Words
- Promotes the formation of dense, healthy bone in your jaws
- Leave it in All the Time without the need for removal by either your Dentist or Yourself
- Feels like Natural Teeth
- Can be brushed and flossed at home!
All-on-X / Fixed Hybrid Solutions
At Immediate Smiles Dentures & Dentistry, we are proud to offer another excellent option for replacing your failing and / or missing teeth with a fixed prosthesis that replaces all of your natural teeth. The All-on-X, also known as Fixed Hybrid, Solution, involves the placement of 4 to 6 implants into the healthy, recontoured bone of your Upper or Lower Jaw. In this option, you leave with a set of teeth directly connected to the implants SAME DAY! Please review the advantages below, and feel free to ask us any questions:
- Restores Your Ability to Eat Effectively while Improving Your Self-Esteem and Confidence in Your Smile
- Restores the Beauty of Your Smile and allows for Enhanced Clarity when engaging Your Friends in conversation
- Highly stable with 4 to 6 Implants on Either Upper or Lower Arches, or Both
- Restores 90% functionality upon Finalization
- Start enjoying Your Smile faster by having them Secured Same Day
- NO need for messy denture adhesives
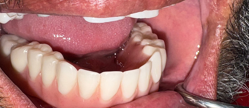
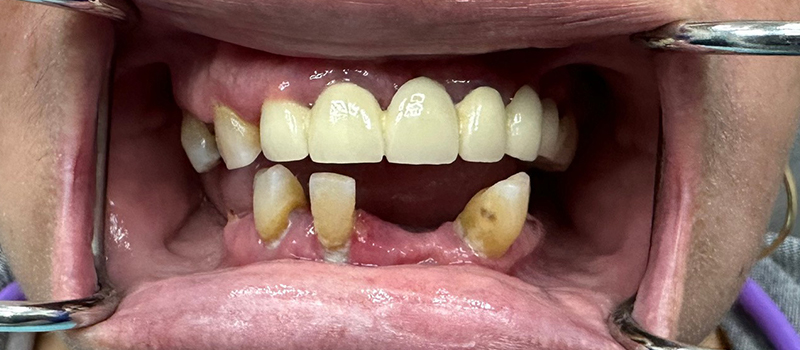
Snap-On / Implant Overdentures
At Immediate Smiles Dentures & Dentistry, we offer a 3rd, more affordable option to obtain a highly stable Smile while eating and spending time with family and friends. The third option is known as a Snap-On or Implant Overdenture. The Snap-On Overdenture option involves the placement of 4 to 5 Implants on the Upper Arch and / or 2 to 4 Implants on the Lower Arch that, with the help of attachments placed in the denture, āsnapā the denture into place. In this option, your denture is snapped on to the implants after at least 6 months of healing. Listed below are some of the advantages of this procedure:
- Restores Your Ability to Eat the foods You Want while Improving Your Self-Esteem and Confidence in Your Smile
- Restores Your Beautiful Smile
- Highly stable with 3 to 5 Implants on the Upper Arch and / or 2 to 4 Implants on the Lower Arch
- Easy to maintain Cleanliness via the Snap-On / Snap-Off Overdenture Technology
As with any Dental Implant procedure, your personal hygiene is of utmost importance. At Immediate Smiles Dentures & Dentistry, we want to ensure that your new smile truly lasts! To help make sure this is possible, we recommend returning to our clinic every 6 months for a regularly scheduled Hygiene appointment. This allows us to remove any and all debris from the surfaces of your attachments so your implants remain healthy!




















































